Advanced Science:揭示环状RNA促进相分离调控肿瘤发展分子机制
来源:生物世界 2022-01-26 18:00
环状RNA(circRNA)是由pre-mRNA通过反向剪接形成的闭合环状RNA分子。在生物体内,环状RNA可发挥miRNA海绵、结合蛋白以及翻译成短肽等分子功能调控各种生理和病理过程。与线性mRNA相比,环状RNA独特的环状结构使其具有更高的稳定性,在细胞内可以更稳定的存在。因此,环状RNA更适合作为肿瘤的分子标志物及治疗靶点。然而
环状RNA(circRNA)是由pre-mRNA通过反向剪接形成的闭合环状RNA分子。在生物体内,环状RNA可发挥miRNA海绵、结合蛋白以及翻译成短肽等分子功能调控各种生理和病理过程。与线性mRNA相比,环状RNA独特的环状结构使其具有更高的稳定性,在细胞内可以更稳定的存在。因此,环状RNA更适合作为肿瘤的分子标志物及治疗靶点。然而,目前大部分环状RNA在肿瘤发生发展中的具体调控功能与分子机制还有待深入研究。
中国科学院北京生命科学研究院赵方庆团队在 Advanced Science 期刊发表了题为:circVAMP3 drives CAPRIN1 phase separation and inhibits hepatocellular carcinoma by suppressing c-Myc translation 的研究论文。
该研究报道了环状RNA circVAMP3通过促进CAPRIN1蛋白相分离,在细胞内形成应激颗粒(stress granules)以阻止c-Myc mRNA的翻译,进而抑制肝细胞性肝癌(HCC)的发生发展。
该工作首次证实了环状RNA可以通过发挥分子骨架的功能促进相分离形成,从而调控肿瘤的增殖与迁移过程,为恶性肿瘤的研究提供了新的分子标志物和治疗靶点。
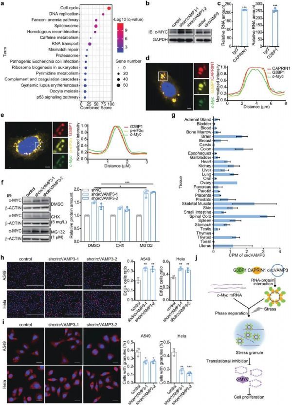
首先,研究人员通过对20对肝癌及癌旁样本的RNA-seq数据进行挖掘,筛选到了在肝癌中表达显着下调且其母本基因变化不大的环状RNA——circVAMP3。circVAMP3由VAMP3基因的第3、4外显子通过反向剪接成环,具有与线性VAMP3基因截然不同的表达模式,并且与患者的预后显着相关。研究人员利用RNA干扰技术,通过体内外功能实验证明了circVAMP3具有抑制HCC细胞增殖和迁移的作用(图1)。
接下来,他们对circVAMP3调控肝癌发生的机制进行了深入探究。通过对circVAMP3互作分子的筛选发现,circVAMP3可以作为分子骨架与CAPRIN1蛋白的RGG结构域结合,进而招募CAPRIN1-G3BP1复合物,导致蛋白聚集并发生相分离,在细胞中促进应激颗粒的形成。尽管先前的研究表明线性RNA可调控蛋白相分离过程,该研究首次证实了环状RNA也可通过聚集蛋白促进相分离的发生(图2)。
随后,研究人员进一步发现circVAMP3通过抑制c-MYC蛋白的翻译,进而抑制肝癌细胞的增殖和迁移。通过共定位研究揭示了circVAMP3通过应激颗粒抑制c-Myc翻译的分子机制(图3)。非常有意思的是,除了在肝脏中,circVAMP3在其他组织中(如脑、胃、结肠、脾脏、肺、甲状腺、肾脏等)也可以广泛表达,并且其在对应的肿瘤组织中表达量均发生下调。研究人员进一步对不同组织不同肿瘤细胞系对circVAMP3进行干扰实验,发现均可以抑制肿瘤细胞的增殖和迁移,这提示circVAMP3广泛参与了不同类型的肿瘤发生发展的普适性调控,以及其可能成为肿瘤研究共性靶标分子的潜力。(生物谷Bioon.com)
版权声明 本网站所有注明“来源:生物谷”或“来源:bioon”的文字、图片和音视频资料,版权均属于生物谷网站所有。非经授权,任何媒体、网站或个人不得转载,否则将追究法律责任。取得书面授权转载时,须注明“来源:生物谷”。其它来源的文章系转载文章,本网所有转载文章系出于传递更多信息之目的,转载内容不代表本站立场。不希望被转载的媒体或个人可与我们联系,我们将立即进行删除处理。
